脑梗死作为中老年的常见病和多发病已成为危害健康和生命的重大社会问题,多数患者都会遗留不同程度的后遗症,如能及早治疗,可明显降低后遗症的发生。急性发病患者可以通过溶栓、取栓等,让堵塞的血管再通,降低致残率和死亡率。
近期,包头医学院第一附属医院神经内科三病区采用静脉溶栓术,让一名88岁急性脑梗死患者得到了及时救治,挽救患者生命,减轻疾病痛苦、避免了后遗症的发生。
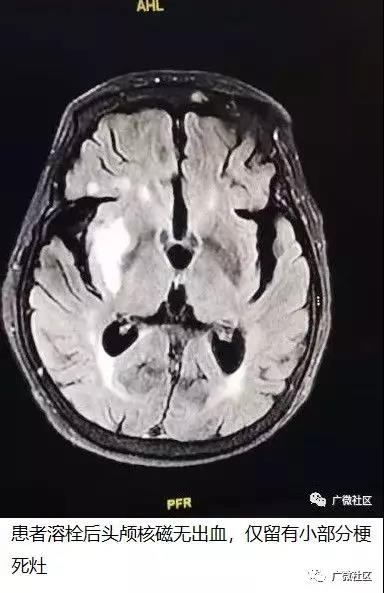
家住内蒙古自治区包头市昆都仑区恩和小区的88岁老人郭女士,2019年8月20日晚20:00在家准备去厕所时,突发言语不清,左侧肢体无力,不能活动,同时伴有头晕,恶心,呕吐,双眼向右侧凝视,逐渐嗜睡。家人急打120把老人送到包头医学院第一附属医院急诊科,急查头颅CT无出血,于22:05分收入神经内科三病区病房。神经内科三病区主任刘丹,根据患者症状及检查,诊断为急性脑梗死。患者当时发病不足3小时,理论上可以给予静脉溶栓治疗,但患者高龄,使用静脉溶栓伴随出血风险极高。这种情况在临床治疗中非常棘手:如果不溶栓,患者重则危及生命,轻则必定遗留后遗症,偏瘫卧床,生活不能自理;如果溶栓,则有可能出现脑出血等风险,同样有可能危及生命,遗留后遗症。在这左右为难的时候,刘丹主任综合分析了患者发病特点、发病时间、个体特征等多方面因素,当机立断,指示:建议溶栓。在与家属沟通后,家属表示完全理解,相信刘丹主任的专业判断,愿意承担风险,遵从建议,同意静脉溶栓治疗。早在一旁准备的医护人员,立即给予患者静脉溶栓治疗,此时距患者发病仅2.5小时。溶栓过程顺利,2小时后,患者神志清醒,精神良好,左下肢可抬起,左上肢可在床上挪动。此时已是凌晨1点,全科医护人员轮班值守,彻夜未眠,刘丹主任多次指示,评估患者疗效,拟定下一步治疗方案。次日清晨(8月21日上午6时左右),老人症状基本缓解,言语功能明显好转,左侧肢体趋于正常,高兴地说:“谢谢大夫,我的左手左脚能动了,都能下地行走了,好多了,我们小区有几个老年人,得了脑梗,都落下后遗症,生活都不能自理,我比他们都幸运!”看着老人手舞足蹈的样子,大家都相顾莞尔,一夜的辛劳都倍感值得。

是啊,这世上,哪有什么平白无故的幸运,不过是有人替你心甘情愿的付出。

刘丹主任简介
刘丹,主任医师、教授、神经病学硕士生导师、包医一附院神经内科三病区主任。获得2018年“草原英才”,内蒙古中青年突出贡献专家,2017内蒙古新世纪321人才、2017包头市鹿城英才、包头市名医等荣誉称号。主持内蒙古自然科学基金等项目6项,参加国际合作项目、国家多中心、省、市级科研项目20多项。成果获内蒙古科技进步二等奖、2016年度内蒙古自治区医学会科学技术三等奖、包头市科技进步二等奖、包头市科技进步三等奖。以第一作者发表论文38 篇,其中SCI收录3篇,北大核心期刊17 篇。社会任职20多项。
