“我本以来以为会瘫痪
经过手术治疗
现在一点都不疼了
真的太感谢你们了!”
近日,患者白女士
带着鲜红的锦旗
抑制不住内心的喜悦
向神经外科主任张春阳教授
所带领的医师团队连声道谢

腿疼难忍,原是椎管占位
疫情闭环管理期间,白女士的女儿拨通了包医一附院神经外科的电话,焦急地说母亲腿疼难忍,想要入院治疗。
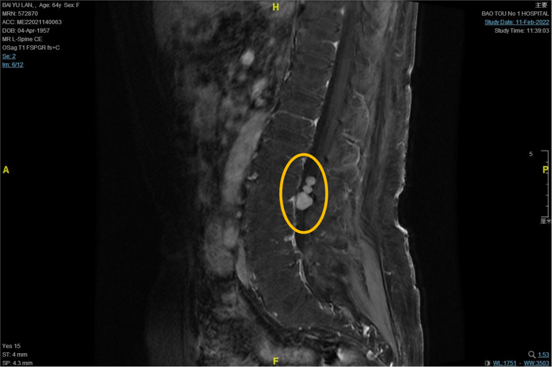
据了解,白女士今年64岁,两年前无明显诱因出现右下肢疼痛,呈间断性发作,未予以重视。随着时间的发展,疼痛发作频率逐渐增多,时间延长。两个月前出现右下肢麻木,伴左下肢疼痛。来到包医一附院检查发现:腰2-3髓外硬膜下神经鞘瘤,呈珠串型。当时家属打算去外地治疗,还没出发,疫情便来了。
由于情况紧急,张春阳教授立刻查阅了白女士的影像资料,研讨她的病情,并安慰到,这个手术咱们这儿可以很好的完成,让白女士一家放心。
张春阳教授介绍:对于椎管内肿瘤患者而言,如果症状较轻或者症状可以自发缓解的患者,可以进行保守治疗。但是,手术切除肿瘤是目前唯一积极的治疗方法,因椎管内良性肿瘤占多数,故手术全切除或部分切除可获得治愈或好转,尤其是对于出现脊髓、神经压迫的患者,只有通过手术切除肿瘤,解除压迫,才可能防止脊髓神经压迫症状加重。
手术治疗,解决困扰
术中,可见患者三个呈珠串样肿瘤,张春阳教授仔细将肿瘤周边分离,分块将肿瘤切除。

术后,白女士原有的疼痛症状完全消失,其他各项功能基本正常,身体也在逐渐恢复。白女士的女儿感慨道:没想到家门口就有这么好的医院和大夫,用很低的费用就完成了这个手术,并且治疗效果这么好!
张春阳教授介绍,椎管内肿瘤患者多为20~60岁成年人,男性略多于女性。椎管内肿瘤可以分为原发性椎管内肿瘤和继发性椎管内肿瘤。临床上,以原发性椎管内肿瘤较多见。
临床上,肿瘤处于不同位置时,依据肿瘤与脊髓和硬脊膜的关系将椎管内肿瘤分为硬脊膜外肿瘤和硬脊膜内肿瘤。硬脊膜内肿瘤又可以分为髓内肿瘤和髓外肿瘤。
硬脊膜外肿瘤约占椎管内肿瘤的25%,以肉瘤、转移瘤等恶性肿瘤居多,但是也可能为良性肿瘤,如神经纤维瘤、脊膜瘤和脂肪瘤等;髓内肿瘤主要为神经胶质瘤,髓内肿瘤患者约占椎管内肿瘤患者人数的10%,常见的有室管膜瘤、星形细胞瘤;髓外肿瘤约占椎管内肿瘤的65%,绝大部分为良性常见有神经纤维瘤、脊膜瘤。