心血管疾病发病率居高不下,多支冠状动脉病变患者日益增多,如何实现完全性心肌血运重建及提高冠脉远期通畅率仍是目前该疾病研究的重点。近日,包头医学院第一附属医院心内科与北京大学人民医院成功合作,为一名冠状动脉病变患者成功实施杂交血运重建术。
多病缠身 36岁男子出现冠状动脉病变
近日,包医一附院心内科与北京大学人民医院成功合作,为一例复杂冠状动脉病变患者完成分期式、小切口冠状动脉杂交血运重建术。
据了解,该名男性患者今年36岁,因双踝关节出现疼痛且一周没有好转,进而来到包医一附院风湿免疫科就诊。经检查,该名患者同时患有痛风、2型糖尿病以及3级高血压病,在经过住院规范药物治疗后,患者的痛风性关节炎症状逐渐缓解,但在做心电图检查时却显示“可疑前壁心肌梗死”,于是患者被转入心内科三病区继续接受治疗。

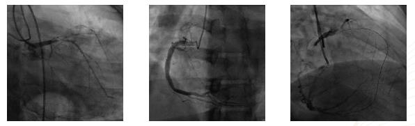
“我们给患者做了冠脉造影显示,他的前降支、对角支、回旋支均为病变血管,前降支开口100%齐头闭塞,远端经右冠脉逆行显影,这在医学上称为慢性闭塞性病变,”心内科三病区副主任孙淑艳介绍,这种病变在冠状动脉介入手术中属于最高难度手术,手术的成功率取决于患者血管的病变情况。
通力合作 京包专家接力式手术治病患SIMPLE STYLE
由于该患者闭塞病变无明显残端,闭塞长度较长,无法获得真实的血管的走行情况,且病变内部结构复杂,心内科团队通过“正、逆向”介入技术仍未能开通血管、置入支架,于是转而选择进行杂交冠状动脉血运重建治疗(HCR)。

该手术采用“分期式”HCR完成,北京大学人民医院心外科专家陈彧教授首先成功为患者实施小切口搭桥手术,采用左胸前外侧第 4、5 肋间小切口,胸腔镜辅助下完成手术。切口愈合后,包医一附院心内科专家裴汉军团队择期为患者实施了冠状动脉介入治疗,术前冠脉及桥血管造影提示患者内乳动脉桥血流通畅,前降支远端显影良好,吻合口质量极佳,之后成功置入一枚支架。术后患者恢复良好,顺利出院。

裴汉军副院长介绍,这种先搭桥后植入支架的 “分期式”术式是目前应用最为普遍的杂交冠脉血运重建治疗,优势在于可以根据搭桥和介入各自的用药指南进行给药,与“一站式”手术方式比较,出血更少,支架置入后发生术后血栓的风险更低,有桥血管“保驾护航”后置入支架更安全。
“杂交手术”冠脉多支病变患者有新福音
近年来,为使复杂冠脉病变患者获得最佳治疗方案,由心脏内、外科医生协作建立的心脏团队推动了HCR技术的迅速发展,并且取得了良好的临床疗效。
“与传统冠脉搭桥术相比,经小切口冠状动脉杂交血运重建术优点也较为明显。”裴汉军介绍,肋间隙的切口,不伤害患者的胸骨完整性,因此胸部的稳定性良好,切口感染等并发症的发生率明显减少。该手术术后出血少,有效的减少不必要的输血;而小切口手术对病人呼吸影响小,有利于术后咳嗽排痰,病人在得到同样治疗效果的同时,手术的损伤更小,恢复也更快,第二天就可以下地活动了。另外最重要的是小切口搭桥选用的是内乳动脉而不是静脉,桥血管使用寿命长,将内乳动脉作为桥血管对无法行支架置入术的前降支进行搭桥,其余病变血管采用支架置入进行血运重建,从而避免使用静脉桥血管进行搭桥。“这种杂交手术充分集成了介入手术和外科手术的优点于一身,有效的避免了这两种手术的缺点,是现在心脏手术发展的巅峰之作,内外联合,为高难度手术患者带来福音,值得心内外科医师学习及推广。年龄不是该手术的绝对影响因素,但是高龄和较年轻患者可从中更多获益。”裴汉军强调。
今后,包医一附院将继续通过与北京、天津和上海等权威医疗中心的合作,有力带动包医一附院在各个领域医疗技术的发展和人才培养,造福广大患者。
专家介绍
裴汉军 中共党员、主任医师、教授、医学博士后、硕士生导师;全国心血管介入培训基地负责人及导师;包头医学院第一附属医院副院长。
擅长各类冠心病复杂病变、心律失常、先心病的介入治疗。率先在包头市开展 “经导管主动脉瓣置换术”。
毕业于中国协和医科大学、阜外医院。先后荣获优秀共产党员、青年岗位能手、科技创新优秀人才、鹿城英才、鹿城最美医生、最美健康守护人、人民好医生、新世纪321人才等荣誉称号。兼任亚太结构性心脏病青年俱乐部成员,中国医促会心脏重症分会内蒙古学组主任委员,内蒙古医学会结构性心脏病学组、高血压学组副组长,内蒙古医师协会心内科分会副会长、胸痛专业委员会副主任委员,包头市胸痛联盟副主席。主持国家、自治区、市科研项目5项,发表论文20余篇。