自闭症( Autism spectrum disorder,ASD) 又称“孤独症”,是一种儿童早期出现的、以不同程度社交障碍、言语障碍和刻板重复行为为主要特征的精神系统疾病。国外学者发现,多数患有自闭症的儿童口腔卫生不良,且有偏好甜食、口含食物等习惯,患龋风险较大。由于自闭症儿童的特殊性,门诊下完成口腔治疗更是极难的挑战。
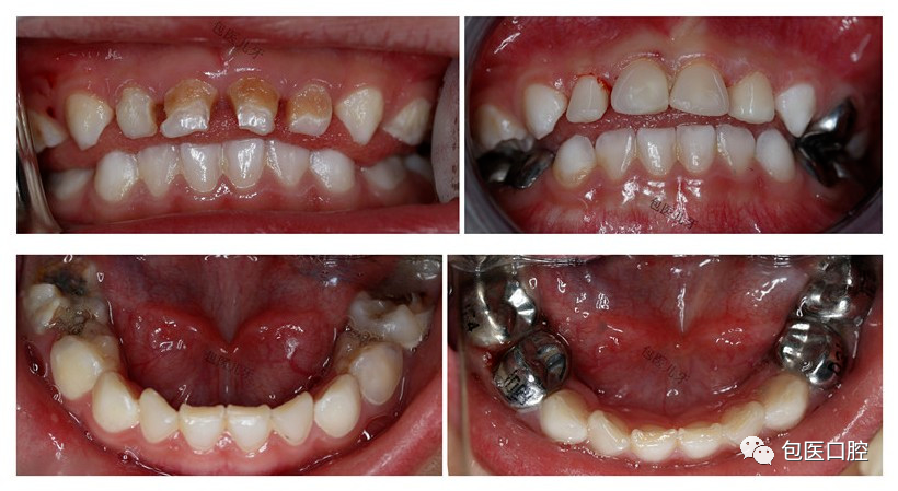
近日,我院口腔科接诊了一位患有自闭症的小朋友,他不与任何人进行沟通交流。其父母说孩子口内多颗龋齿,孩子经常喊牙疼。家长带孩子走访了区内多家医院及诊所,但孩子与人交流困难,口腔治疗更是无果。在了解我院口腔科后,患者父母希望可以在全身麻醉下为孩子治疗口腔内所有龋齿。通过与患者家属进行沟通交流,口腔科医生赵越确定了最终的治疗方案。在麻醉手术室的默契配合下,赵越成功为患儿治疗了口腔内所有牙齿。


口腔科医生呼吁,自闭症患儿是一个特殊群体,希望得到社会的重视和关注,走入并了解他们的孤独世界,同时也希望家长朋友们更加关注自闭症患儿的口腔健康。
随着社会的不断发展,国民经济水平的不断提高,儿童龋病的发生越来越高。儿童是一个比较特殊的群体,面对牙科治疗,经常会出现焦虑、恐惧、不配合。而全麻下儿童口腔治疗可以一次性治疗儿童口腔内所有坏牙,全程无痛、舒适、无恐惧,无需多次复诊,是一种安全、高效的治疗选择。我院口腔科致力于让每一个孩子都拥有健康的牙齿和自信的笑容。