三岁的迪迪(化名)这几天活蹦乱跳
吃嘛嘛香
但一周之前
他还饱受牙痛的折磨
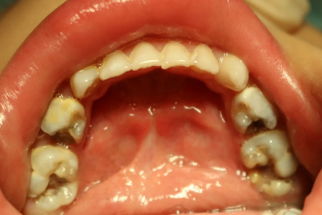
因为他有13颗牙齿
居然都是问题牙
睡了一觉,牙齿焕然一新
“不害怕,这个就是给牙齿洗澡的......”
“太棒了宝贝,你怎么这么棒呀?”“没事慢慢的,数一二三就好啦!”
孩子看牙,说起来就让人头疼,但在包医一附院口腔科儿牙诊室里,却是另一番景象,孩子们不哭不闹,各个都听话。医生姐姐温柔地安慰,让孩子们很快就能放松下来。
三岁的迪迪(化名),一周之前还饱受牙痛的折磨。7月2日,妈妈带着迪迪从呼市来到了包医一附院口腔科就诊,据迪迪妈介绍,孩子已经牙疼一周了,吃不下饭,还总是哭闹睡不好觉。迪迪的接诊医生赵越检查后发现,迪迪的牙齿有13颗都是问题牙,包括6颗需要做根管治疗的复杂牙、7颗需要充填的牙齿。

▲迪迪治疗前龋齿
赵越告诉迪迪妈,迪迪的13颗牙坏的非常严重,必须全部做治疗。由于孩子年纪小,极度恐惧无法配合门诊治疗,在与家长沟通后,赵越决定给迪迪实行全麻下牙齿治疗,做乳磨牙金属预成冠,一次性完成全口13颗牙齿的治疗。
“我们在呼市辗转了好几家医院,由于孩子不配合,都没能给孩子治好牙,在内蒙医院的推荐下我们来到了包医一附院口腔科,因为听说这里可以给孩子做全麻,这样可以减轻孩子的痛苦,我们大人也省心。”迪迪妈说。
赵越说,“全麻下的儿童牙科治疗我院做的比较早,技术也相对成熟,因为手术不光对口腔医生的要求高,对麻醉师的要求也很高,所以能做的地方不多;包医一附院有强大的口腔医生团队和麻醉团队,可以做到全方位保障患者的安全。全麻下的牙科治疗适合:配合度低有牙科恐惧的患儿、口腔内坏牙较多、有先天疾病无法配合门诊治疗、无条件多次复诊的患儿;优点是患儿全程无痛无恐惧,可以一次性解决患儿口内的所有问题。”

▲迪迪正在手术中
由于儿童对医院环境和医务人员的恐惧心理,历来儿童口腔治疗都是一个非常困难的过程,同时,儿童患者往往口内龋坏牙的数量较多,常常会因为儿童的不配合延误口腔疾病的治疗,造成终身的遗憾。
牙科治疗的“舒适化”时代
【环境舒适】
良好的就医环境,干净整洁的诊室,言语轻柔的问诊过程。
【过程无痛】
笑气镇静下治疗:适用于四岁以上的孩子,孩子必须会用鼻子呼吸,也需多次复诊。
全麻下治疗:无需住院,需要与麻醉医师配合,一次性解决口腔所有问题。
▲儿科乳牙金属预成冠【什么是乳牙金属预成冠】
儿童乳牙金属预成冠是一个预先成型的,与牙齿非常贴合的不锈钢金属牙冠,套在乳牙上可以保护牙齿并加强牙齿的强度,能够确保乳牙非常健康的被恒牙替换。
用金属冠恢复乳磨牙的外形和咀嚼功能,恢复患牙正常咬合关系,防止充填物的脱落,继发龋的产生和牙体组织的折裂,因此能有效保护缺损较大的乳磨牙至替牙期,从而保证继承恒牙顺利萌出,减少恒牙列错和颌畸形的发病,并促进后期颌面部的正常发育。

赵越
主任医师,硕士,包头医学院口腔学院口腔内科学教研室副主任,包医一附院住院医师规范化培训口腔专业基地教学主任。从医二十年,目前专门从事儿童口腔医学的研究和诊疗工作。